“胸口像压了块大石头,喘不上气……”2025年10月5日,国庆假期刚过半,57岁的兰州游客郑先生(化姓)在武汉旅游时突发剧烈胸痛,伴随冷汗、恶心、乏力等症状,同行亲友立即拨打120急救电话,救护车迅速将患者送往泰康同济(武汉)医院,医院胸痛中心立即启动胸痛绿通抢救预案,仅用时51分钟,成功开通堵塞血管,患者很快转危为安。
郑先生一入院,心电图检查瞬间锁定其为“急性下壁心肌梗死”,即因右冠状动脉或左回旋支急性闭塞导致的危急重症,随时可能引发恶性心律失常、心源性休克、猝死等致命风险。
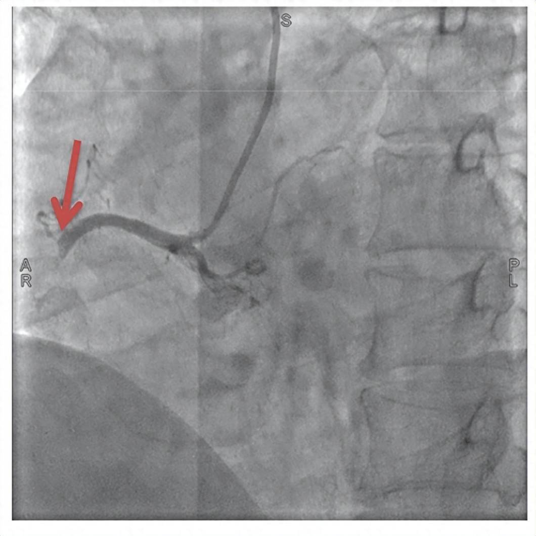
闭塞的右冠状动脉
一场与时间的赛跑随即展开,泰康同济胸痛中心立即启动急性心肌梗死救治绿色通道,急诊冠状动脉造影显示郑先生右冠状动脉完全闭塞。从进入医院大门到手术器械成功开通堵塞血管仅用时51分钟,远低于国际公认的90分钟黄金标准。术后郑先生胸痛症状迅速缓解,生命体征逐渐平稳,目前已转入普通病房观察。
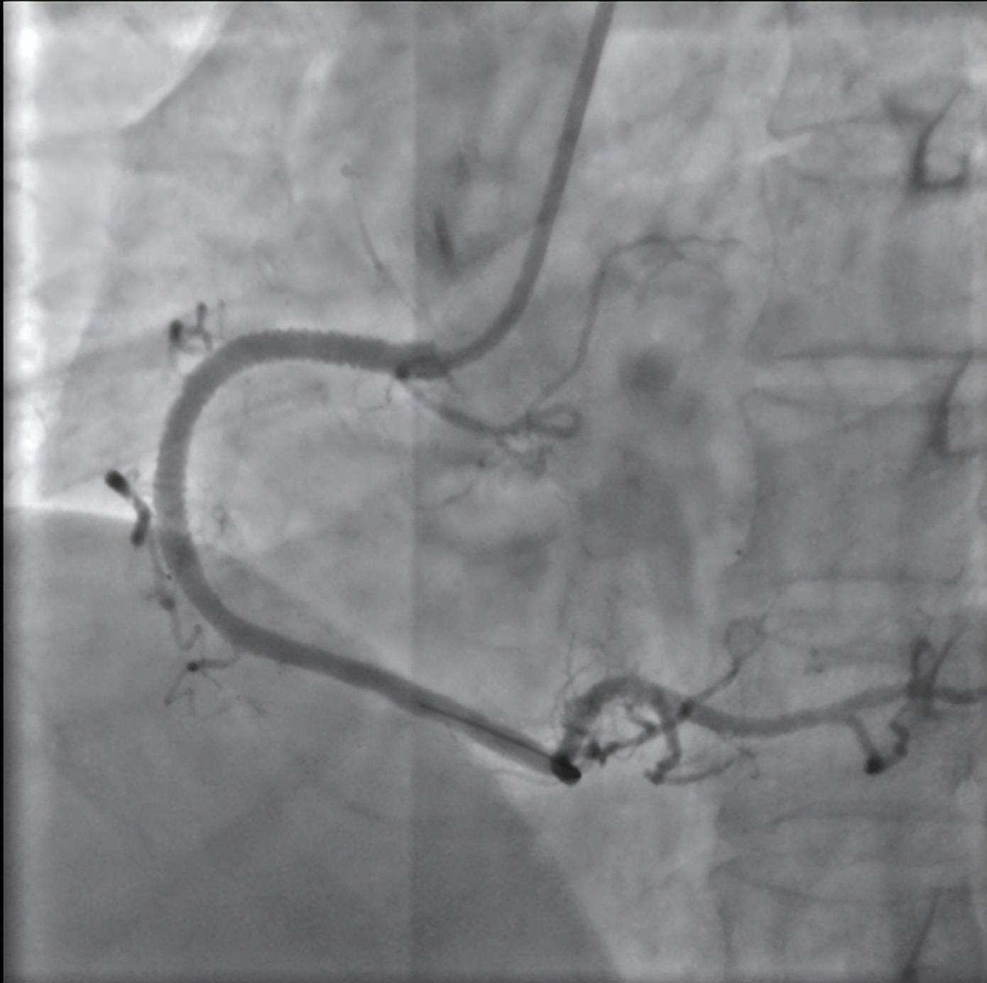
植入支架之后的右冠状动脉
“时间就是心肌,时间就是生命。”泰康同济(武汉)医院心血管内科主任蒋桔泉介绍,急性心肌梗死救治,每延迟1分钟就有约100-300个心肌细胞缺血缺氧坏死,且坏死细胞无法再生,黄金抢救窗口仅有发病后的120分钟。对普通人而言,掌握正确的胸痛急诊方法,是为生命争取时间的关键。
蒋桔泉主任提醒,无论身处何地的患者,一旦出现疑似急性心肌梗死的胸痛症状,都应立即呼叫120,胸痛不硬扛,“早一秒识别,早一步行动,就能为生命多一份保障”。
【链接】
一、3秒识别:这些胸痛信号是“救命警报”
急性心肌梗死的疼痛往往具有典型特征,尤其下壁心梗可能伴随消化道症状,容易被误判,需特别警惕以下表现
- 疼痛性质:胸骨后或心前区出现持续性压迫感、闷痛感,如同“巨石压胸”,休息或服用普通止痛药无法缓解,持续超过15分钟需高度警惕。
- 放射部位:疼痛可向左肩、左臂内侧、后背甚至下颌蔓延,部分患者仅表现为肩背或下颌疼痛。
- 伴随症状:常伴有大汗淋漓、恶心呕吐、头晕、乏力,严重时出现呼吸困难、濒死感,这与下壁心梗刺激迷走神经的病理机制相关。
需注意,约三分之一的下壁心梗患者会出现上腹部胀痛等非典型症状,易被误认为胃病,中老年人或有高血压、2型糖尿病、高血脂等基础病者,出现此类不适更需谨慎。
二、四步急救:胸痛发作的“保命操作”
一旦出现上述疑似症状,务必严格遵循“停-打-药-等”四步急救法,这是降低心梗死亡率的关键:
1. 立即停止活动:让患者就地坐下或半躺休息,避免任何体力活动,切勿自行走动或用力,放松情绪以减少心脏负担—紧张焦虑会进一步加重心肌缺氧。同时松开衣领、腰带,保持周围环境通风。
2. 快速拨打120:这是最关键的一步。拨打时需明确告知“突发胸痛,怀疑心梗”,并准确提供所在位置,切勿自行驾车就医或等待家属接送,救护车可在途中提供急救干预,降低转运风险。
3. 规范使用急救药:若患者既往确诊心绞痛且随身携带药物,可舌下含服1片硝酸甘油(0.5mg),5分钟未缓解可再含1片,最多不超过3片,但血压低于90/60mmHg时禁用。
4. 等待救援不慌乱:记录胸痛发作时间,便于医生判断病情。若患者突然意识丧失、无呼吸无反应,需立即进行心肺复苏——双手交叠按压两乳头连线中点,深度5-6cm,速度100-120次/分钟,直至急救人员到达。
三、避坑提醒:这四类错误做法要杜绝
临床中,不少患者因误判或操作不当延误救治,以下行为必须避免:
- 切勿“硬扛”:认为“休息一下就好”,尤其在旅游、出差等异地场景,因怕麻烦而拖延,忽视持续胸痛信号,错过最佳救治时机。
- 切勿乱用药:随意服用布洛芬、去痛片等止痛药可能掩盖症状,影响医生判断;非医嘱用药还可能加重病情。
- 切勿自行移动:步行、爬楼或驾车等行为会增加心脏耗氧,可能导致心肌坏死面积扩大,同时也有可能诱发恶性心律失常。
- 切勿进食、饮水:等待救援时,不要给患者喂水、喂饭,若需紧急手术,进食饮水可能增加麻醉风险,延误手术启动时间。
通讯员:汪小君
编辑:刘贞
配查网-配资平台公司-在线配资网站-股票配资精选提示:文章来自网络,不代表本站观点。